Ortodoncia





Tratamientos restaurativos para niños
Los empastes y coronas para niños restauran los dientes afectados por caries o daños, ayudando a mantener una sonrisa saludable. Los empastes reparan pequeñas áreas de caries, mientras que las coronas protegen y fortalecen los dientes más dañados. Ambos tratamientos son seguros, duraderos y están diseñados para apoyar la salud dental y el bienestar a largo plazo de su hijo.
Las extracciones dentales a veces son necesarias para eliminar dientes muy cariados, dañados o apiñados. Nuestro enfoque amable y adaptado a las necesidades de los niños garantiza una experiencia segura y cómoda. Priorizamos la comodidad y la salud bucal a largo plazo de su hijo, creando espacio para el correcto desarrollo de sus dientes y previniendo futuros problemas dentales.
La caries profunda puede afectar la pulpa, el centro blando del diente. Una pulpotomía para salvar el diente implica eliminar la caries de la cámara pulpar, colocar material de relleno en el espacio restante y colocar una corona.
Si su hijo pierde un diente de leche demasiado pronto debido a caries o un traumatismo, podemos crear un puente dental para garantizar una sonrisa completa.
Algunos niños solo necesitan anestesia local para tolerar el tratamiento dental, mientras que otros pueden requerir gas de la risa para reducir la ansiedad. Sin embargo, otros pueden necesitar sedación consciente oral porque tienen más miedo o enfrentan dificultades físicas o mentales. Podemos administrar sedación consciente oral durante todo tipo de procedimientos, incluso al realizar un examen dental sencillo o una limpieza dental infantil.

Servicios de ortodoncia
¡Confiable, comprobado, clásico! Los brackets tradicionales son brackets y alambres de acero inoxidable sujetos con bandas elásticas de grado médico. Podemos cambiar las bandas para darle un toque de color fresco y renovado cuando venga a su ajuste mensual. Nuestros ortodoncistas de Houston ofrecen opciones avanzadas de brackets y tienen la experiencia para abordar incluso los casos más complejos.
Los brackets solían ser la única opción para enderezar los dientes y alinear la mordida. ¡Ya no! Con los alineadores transparentes, puedes conseguir la sonrisa de tus sueños a tu manera. Este innovador sistema de alineación dental consiste en una serie de alineadores de plástico transparentes, hechos a medida y sin BPA. Son cómodos, eficaces, prácticamente invisibles y desplazan gradualmente los dientes a la posición deseada.
Los aparatos de ortodoncia, como expansores y mantenedores de espacio, ayudan a guiar el crecimiento mandibular y la posición de los dientes para crear una sonrisa sana y bien alineada. Estos dispositivos personalizados ayudan a corregir problemas de mordida y a preparar los dientes para la ortodoncia.
Ofrecemos soluciones de ortodoncia SprintRay avanzadas, impresas en 3D, para consultorio. Llámenos para más información.
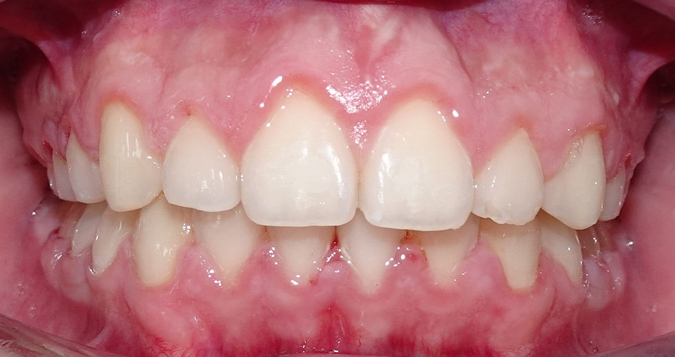
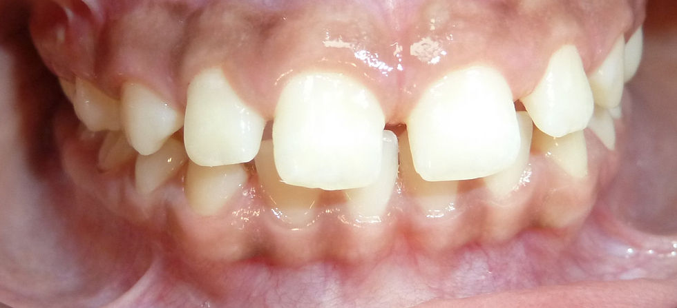
Antes/Después

Antes

Después

Antes

Después

Antes

Después

Antes

